痘印应该怎么办?
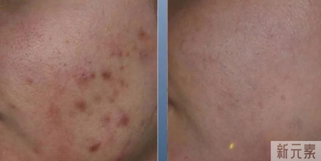
痘印具体指哪种痘印?痘痘好后的红斑是痘印,色素沉着是痘印,痘坑也是属于痘印,这些治疗起来的方法是有差别的。

对于红色痘印:
红色痘印一般就是痘痘愈合后初期的红斑,是因为炎症反应导致皮肤真皮层中毛细血管扩张或增生形成的。

改善方式:
如果炎症比较明显,可以使用抗炎类药物或通过红蓝光等医美手段来缓解症状,缩短炎症期,加速红色痘印消退;也可用极光DPL、染料激光等方法封闭持续扩张的毛细血管,从而达到祛红的目的。


对于色素沉着:
黑色痘印是痘痘炎症后的色素沉着过度,主要是黑色素过多或分布异常导致的,而导致黑色素过多的两大原因,一是炎症反应,二是紫外线。

改善方式:
色素痘印一般会随着时间推移慢慢淡化,也可以通过医美方法进行干预治疗改善,比如可以通过调Q激光或强脉冲光如极光DPL来选择性地破坏色素颗粒,从而达到淡化色素的效果。

另外,平时要注意皮肤保湿和防晒,防晒是非常重要的,不仅可以预防色素沉着,还能避免光老化。
对于痘坑:
痘坑是由于炎症侵袭皮肤真皮层导致真皮层胶原缺失、皮肤无法修复而形成的凹陷疤痕。

痘坑治疗起来相对比较难,但也有一些比较好的治疗方法,比如皮肤再生祛疤治疗,结合现行有效的抗疤方式,如co2点阵激光、微针治疗、激光磨削等方式,促进真皮胶原蛋白增生弥补失去的部分,从而使得痘坑变浅变淡,效果还是挺理想的。

痘痘、痘印不是一天形成的,治疗也不是一次一个项目就能完全消除的,对于痘印的治疗一定要配合医生的治疗方案,做好打持久战的准备,相信到最后,能让皮肤恢复到理想状态。
本文来自投稿,不代表本站立场,若转载请注明出处:https://m.360xys.com/gl/812240.html